Angstpatienten -
Gut aufgehoben mittels Laser

Der kurz gepulste Erbium-Laser ist eine besonders schonende Alternative zur konventionellen Kariesbehandlung mit dem Bohrer. Der Laser erzeugt ein sehr energiereiches Licht, dass in sehr kurzen Lichtpulsen auf den erkrankten Zahn abgegeben wird. Diese extrem kurzen Laserlichtpulse reagieren mit dem im Gewebe gebundenen Wasser und erzeugen so auf der Zahnoberfläche mikroskopisch kleine Explosionen, die die erkrankte Zahnsubstanz schonend aus dem Zahn entfernen.
Das "Laser-Bohren" eignet sich besonders zur Behandlung von früh entdeckten kleinen Kariesdefekten in den Rillen und Furchen der Kauflächen. Die Lichtspitze des Lasers ist so fein, dass das Laserlicht sehr gezielt auf erkranktes Gewebe abgegeben werden kann und die gesunde Zahnsubstanz dabei geschont wird.
Im Gegensatz zum Bohrer arbeitet der Laser berührungsfrei und erzeugt dabei keine Vibrationen oder Druck auf dem Zahn. Dies finden viele Patienten angenehm und bevorzugen das "Laser-Bohren", weil es als weniger schmerzhaft empfunden wird. Viele Laserbehandlungen lassen sich sogar ganz ohne oder mit einer leichten lokalen Betäubung durchführen.
Die mit dem Erbium-Laser gereinigten Zahnoberflächen sind desinfiziert und frei von Schleifstaubrückständen, so dass die Klebekräfte von keramischen Composite-Füllungen am Zahn positiv beeinflusst werden.

Behandlung einer tiefen Karies an einem Backenzahn mit dem kurz gepulsten Er:YAG-Laser
Die Lasertherapie von Karies erfordert eine gute Übersicht, so dass eine einfache Zugänglichkeit des erkrankten Zahnes die Vorraussetzung für die Behandlung mit dem Laser stellt. Daher lassen sich insbesondere Schneidezähne und vordere Backenzähne hervorragend mit dem Erbium-Laser behandeln.

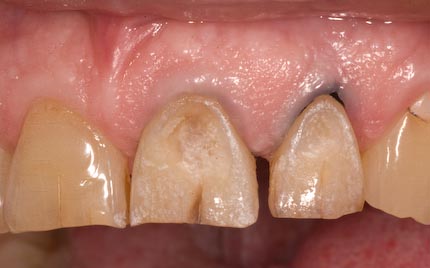
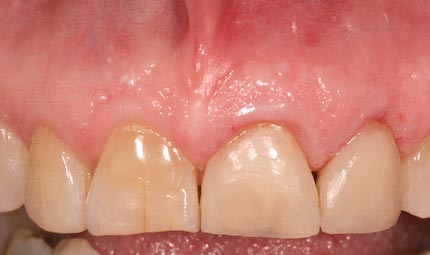
Behandlungsbeispiel für eine Füllungstherapie mit dem Laser an zwei Schneidezähnen mit defekten Kunststofffüllungen

Entfernung der alten Füllungsmaterialien und erkrankter Zahnsubstanz mit dem Er:YAG-Laser

Erneuerung der Restaurationen mit einem keramischen Composite