Kieferorthopädie für Erwachsene:
Zähne lassen sich bewegen - ein Leben lang.
Ihre Zähne prägen Ihre Sprache und Ihre persönliche Ausstrahlung - vielleicht mehr als es Ihnen bewusst ist. Sie beeinflussen die Harmonie Ihres Gesichts und die Gesundheit des gesamten Körpers. Gerade, regelmäßige Zähne sind ein Geschenk fürs Leben, schiefstehende Zähne jedoch kein Schicksal. Ist bei Ihnen eine Zahnkorrektur in der Jugend versäumt oder nicht fachgerecht durchgeführt worden? Träumen Sie von geraden Zähnen wie Perlen an einer Schnur? Dieser Traum kann Realität werden: Zahnfehlstellungen können in jedem Alter korrigiert werden. Ziel ist - neben dem ästhetischen Wert - die Erhaltung bzw. Wiederherstellung wichtiger allgemeingesundheitlicher Funktionen wie Kaufunktion, Atmung, Aussprache und natürliche Selbstreinigung. Eine kieferorthopädische Behandlung bei Erwachsenen schützt vor Fehlbelastungen und vermeidet somit Zahnfleischerkrankungen und Kiefergelenkschmerzen. Sie sichert aber auch den Erfolg von Zahnersatz z. B. nach Aufrichtung der Pfeilerzähne bei Brücken oder Implantaten. Die moderne Kieferorthopädie ist in der Lage, auch schwierigste Fehlstellungen zu korrigieren. In der Regel erfolgt die Zahnkorrektur bei Erwachsenen mit einer festsitzenden Zahnspange, die über einen Zeitraum von 6-24 Monaten getragen wird. Dank ständiger Weiterentwicklung von Techniken und Materialien ist die Behandlung für den Patienten in den letzten Jahren weitaus angenehmer geworden. Zahnfarbene, miniaturisierte Brackets oder Miniimplantate und unsichtbare Spangen - früher ein Wunschtraum - sind sehr komfortabel zu tragen und heute eine für alle Patienten verfügbare Realität. Die Ergebnisse sind perfekt.
Informieren Sie sich bitte weiter über unsere Vorträge und Publikationen zu modernen Bracketsystemen und fortschrittlichen, praxiserprobten Behandlungsverfahren.
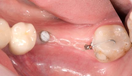
Miniimplantate
Miniaturimplantate können bei Erwachsenen die kieferorthopädische Behandlung wesentlich erleichtern und können gleichzeitig helfen, daß Ihre Zahnspange nur auf den nicht sichtbaren Bereich beschränkt ist. Die kleinen Titanstifte bringen wir in unserer Gemeinschaftspraxis schmerzarm und schonend mittels modernster Laserunterstützung ein.
Die Miniimplantate dienen als vorübergehende Verankerungssysteme für Zahnspangen und spielen eine wichtige Rolle bei der Absicherung umfangreicher Zahnbewegungen, und sie vermeiden Gesichtsbögen sowie die Entfernung bleibender Zähne im Rahmen einer kieferorthopädischen Zahnbewegung.
Übrigens können mit Hilfe von Miniimplantaten auch einzelne Zähne umfangreich bewegt werden, um die Zahnstellung vor der Herstellung eines Zahnersatzes zu optimieren.

Behandlungsbeispiel für die kieferorthopädische Bewegung eines Pfeilerzahnes mit Hilfe eines Miniimplantates vor der Herstellung einer vollkeramischen Brücke.