Bleaching - Für Ihr selbstbewußtes Lachen
Haben auch Sie den Wunsch nach natürlich weißen Zähnen, die Attraktivität und Vitalität ausstrahlen? Heute gibt es moderne Methoden zur Zahnaufhellung, die Ihnen Ihr selbstbewusstes strahlendes Lachen zurückgeben, ohne Ihre Zähne zu schädigen. Durch Tee, Kaffee, Rotwein, Rauchen oder die Einnahme von Medikamenten können äußere Verfärbungen entstehen, während innere z. B. durch Verletzungen der Zähne hervorgerufen werden oder einfach altersbedingt sind. Da Bleaching nicht unbedingt für jeden Patienten geeignet ist, sollte es ausschließlich unter zahnärztlicher Kontrolle stattfinden. Die Verfahren reichen von professioneller Zahnreinigung bis hin zu unterschiedlichen Anwendungen von Bleichmitteln mit Wasserstoffperoxyd, durch die der Zahnschmelz wieder aufgehellt wird. Wir informieren Sie gerne über das für Sie geeignete Bleachingverfahren.
Fragen Sie uns, wir beraten Sie gerne!

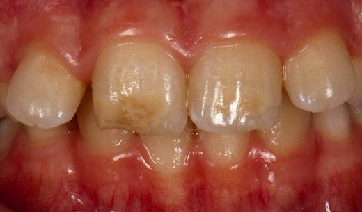
11-jähriger Patient mit ausgeprägten Zahnverfärbungen

Innovatives Nano-Laser-Verfahren - hochwirksam und schonend

11-jähriger Patient nach ca. 30-minütigem (!) Nano-Laser-Bleaching
Wir setzen auf die schonende Smartbleach-Methode (Informieren Sie sich bitte auch unter http://www.sbidental.com) - in unserer Gemeinschaftspraxis zusätzlich verstärkt mit Nanotechnologie, um Zähne dauerhaft aufzuhellen. Dieses innovative Bleachingverfahren ist Gegenstand einer wissenschaftlichen Studie, die Zahnarzt Patrick Kleemann im Rahmen seiner Promotion an der RWTH Aachen University durchführt. Dabei wird Wasserstoffperoxid-Gel in Kombination mit einem Nano-Katalysator auf die Zähne aufgetragen und mit einem grünen Laserlicht (532 nm) dazu angeregt, verstärkt Sauerstoffradikale freizusetzen. Das Laser-Bleaching mit dem KTP-Laser ist eine sehr effektive Methode die Zähne aufzuhellen, da neben der Aktivierung des Gels das grüne Lichtlicht auch die molekularen Strukturen der in den Zahn eingelagerten Farbstoffpartikel schwächt. Das Sauerstoffgel kann so seine maximale Wirkung entfalten. Da es sich bei dieser photochemischen Methode um ein Verfahren handelt, das zu keinerlei Erhitzung der Zähne führt, kann der Aufhellungseffekt schonend und ohne Schädigung der Zähne herbeigeführt werden.
Sinnvollerweise wird das Powerbleaching als Einstieg in eine Bleichtherapie eingesetzt die mit individuell gefertigten Schienen und niederdosierten Carbamidperoxidgelen zu Hause von den Patienten fortgesetzt wird.
Nach einer kurzen zahnärztlichen Untersuchung können wir Sie gerne beraten, welche Form der Zahnaufhellung in Ihrer Situation den günstigsten Bleicherfolg verspricht.