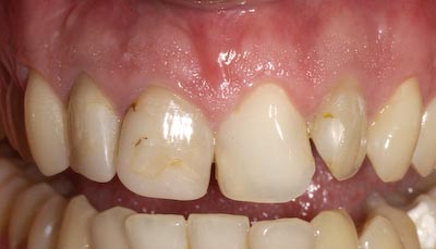
Vollkeramische Kronen
Vollkeramische Kronen weisen unter Beachtung der adhäsiven Befestigungsmethode eine sehr gute Langlebigkeit auf. Die metallfreien Kronen aus Lithiumdisilikatkeramik oder Feldspatkeramik führen zu sehr harmonischen Übergängen zwischen Kronenrand und Zahnfleischrand.Mit der Cerec-Methode können die Kronen in einem Behandlungstermin hergestellt und eingesetzt werden.


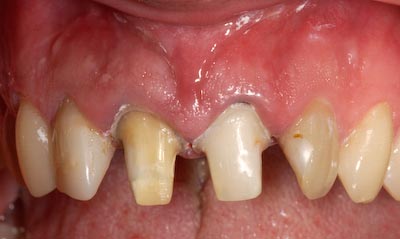
Kronenpräparation für den optischen Abdruck

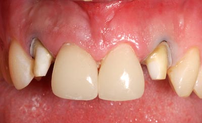
Cerec-Kronen auf den mittleren Schneidezähnen

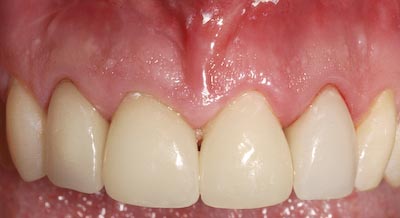
Cerec-Kronen auf vier Schneidezähnen

Lippenbild nach einer Behandlungssitzung