Vollkeramische Verblendschalen (Veneers)
Die Versorgung von defekten Frontzähnen mit vollkeramischen Verblendschalen ermöglicht eine substanzschonende Restauration mit langfristigem Erfolg. Durch die bewährte adhäsive Befestigung mit keramischen Composites verkleben die Keramikschalen dauerhaft mit dem Zahn und behalten dadurch ihre sehr gute ästhetische Wirkung.

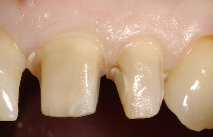
Kariesentfernung und Anlage einer modifierten Veneerpräparation

Digitale Konstruktion der Veneers mit Cerec3D-Software

Computergefräster Veneerrohling aus transluzenter Feldspatkeramik

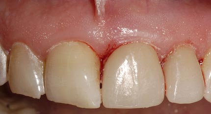
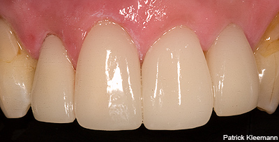
Veneers unmittelbar nach dem adhäsiven befestigen und dem Entfernen der Klebeüberschüsse

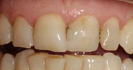
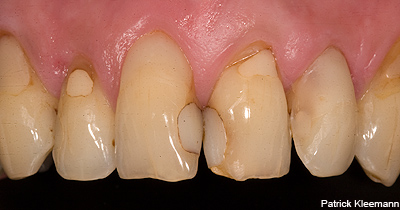
Ausgangssituation mit defekten Frontzahnrestaurationen

Chairside angefertigte Cerec3D-Veneers nach adhäsiver Befestigung